수부(손)는 복잡한 구조와 다양한 기능을 가진 신체 부위이며 외상에 가장 노출되기 쉬운 부위입니다. 수부 골절은 전체 골절의 약 10~30%를 차지하며 자주 접하게 되는 골절이지만 다른 신체 부위에 비해 뼈의 크기가 작고 잘 유합 되어 그 중요성이 간과되는 경우가 많습니다. 적절치 못한 치료로 강직이나 모양 변형 등의 기능적, 미용적 후유증이 발생되는 경우가 있으며 현대 사회에서 자기의 업무를 수행하고 스포츠 등의 취미를 즐기며 살아가기 위해서는 정상적인 손의 기능이 필수적이기 때문에 손상을 입었다면 적절한 치료를 받아 최대한의 기능을 수행하는 것이 중요합니다. 근위지골(손가락 몸 쪽 마디), 중위지골(손가락 가운데 마디), 중수골(손허리뼈, 손등뼈)의 순서로 손상이 많고 제5수지의 손상 빈도가 가장 높습니다. 본 포스팅에서는 수부 골절 중에서 중수골 골절(Metacarpal fracture)의 분류 및 각각의 치료, 회복 기간, 후유증 등 전반적인 내용에 대해 정리해 보도록 하겠습니다.
해부학

중수골(metacarpal bones)은 손목뼈(carpal bones)와 손가락뼈(phalanges) 사이에 있는 긴 뼈로 손가락당 하나씩 총 다섯 개의 뼈가 존재합니다. 각각의 중수골은 머리에 해당하는 경부(neck), 허리에 해당하는 간부(shaft), 바닥에 해당하는 기저부(base)로 나눌 수 있습니다.
엄지(무지)의 중수골 기저부 골절
무지를 이루는 관절들은 여러 방향의 운동이 일어나고 운동 범위가 아주 넓은 관절이기 때문에 운동 범위가 작고 중요도가 덜한 제2~5 수지의 관절과는 기능상 차이가 있습니다. 무지 중수골 간부 골절은 근위부가 고정되어 있지 않기 때문에 발생 빈도가 드문 반면 무지 중수골 기저부 골절은 약간 굴곡된 위치에서 축성 압박력과 외전력에 의해 비교적 흔하게 발생합니다.
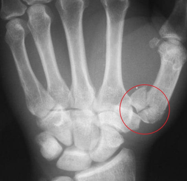
Bennet 골절(베넷 골절, 1형 골절)

- 무지 중수골 기저부 관절 내 골절로 대부분 불안정 골절입니다.
- 중수골이 외측 후방, 근위부로 탈구 또는 아탈구 되며 골절이 발생합니다. 전내측 골편은 해부학적 위치에 있습니다.
- 정복 후 유지가 잘 되지 않아 대부분의 경우에서 수술적 치료가 필요합니다.
- 관절면의 부조화가 2mm 이하이고 관절 안정성이 유지된다면 석고 고정으로 보존적 치료(비수술)하는 경우도 있습니다.
- 수술은 도수 정복 후 K-강선 고정으로 치료합니다.
- 도수 정복이 되지 않는 경우는 관혈적 정복술을 시행합니다.
- 도수 정복은 환자의 무지 중수골 기저부를 누른 상태에서 환자의 무지를 종으로 견인(당기기)하면서 동시에 간부에 외전, 신전 및 회내전력을 가하면 쉽게 정복이 됩니다(Wagner technique).

- 아탈구를 동반한 부정유합이 발생하면 후유증으로 관절염이 진행될 수 있습니다.
- 수상 6주 이후에는 도수 정복이 되지 않으므로 부정유합의 경우 교정 절골술이 필요합니다.
- 관절염이 진행된 경우 관절 고정술이나 관절 성형술이 필요합니다.
Ronaldo 골절(2형 골절)
- 무지 중수골 기저부의 Y형 또는 T형의 관절 내 분쇄 골절로 드물게 발생합니다.
- 가급적 관절면의 해부학적 정복을 시도하여 외상성 관절염을 피해야 합니다.
- 많은 경우 도수 정복이 되며 폐쇄성 또는 개방성 핀고정술을 할 수 있습니다.
- 분쇄가 심한 경우에는 외고정 장치를 이용하여 견인과 함께 제한된 관혈적 정복술 및 골이식술을 시행할 수 있습니다.
- 관절 골편이 큰 경우 금속판을 이용한 관혈적 정복 및 내고정술을 시행할 수 있습니다.

관절 외 골절(3형 골절)
무지 중수골 기저부의 관절 외 골절로 횡형 골절 및 사형 골절로 나눌 수 있습니다. 수술 적응증이 되는 경우는 드물며 30도 이상의 각형성 시 수술적 치료가 필요합니다.
제2~5중수골 골절
제2~5중수골 골절은 그 골절이 발생한 부위에 따라서 기저부 골절, 간부 골절, 경부 골절, 그리고 측부인대의 기시부보다 원위부에서 발생한 두부 골절로 나눌 수 있습니다.

중수골 골두 골절(head fracture)
- 발생 빈도는 많지 않으나 치료하기 어려운 골절로 성장판 골절, 골연골 골절, 측부인대 견열 골절, 시상면/관상면/횡골절, 분쇄 골절 등으로 분류됩니다.
- 관절면의 전위가 1mm 이내이면서 안정적인 골절은 보존적 요법으로 치료합니다.
- 관절면의 부조화가 1mm 이상이거나 관절면을 25% 이상 침범한 골절은 수술을 시행합니다.
중수골 경부 골절(neck fracture)
- 중수골에서 가장 흔하게 골절되는 부위입니다.
- 대부분이 종적 압박력에 의하여 골절되며 골절부에서 후방 각형성을 이루게 됩니다.
- 특히 소지(새끼손가락)의 중수골 경부 골절이 가장 흔한데, 이는 주먹을 쥔 상태에서 중수골 두부로 다른 물체를 가격할 때 발생하므로 권투 선수 골절(= boxer's fracture, 복서 골절)이라고도 부릅니다.

- 이 골절이 정복되지 않고 치유되면 중수골은 짧아지고 골절 부위는 후방으로 돌출되어 보기 흉한 모양이 됩니다.
- 또한 골절된 중수골의 골두는 다른 중수 골두보다 손바닥 쪽으로 돌출되어 강력하게 주먹을 쥐기 어려워지며 연속적으로 물건을 쥐어야 하는 사람에게는 돌출된 부위에 계속 스트레스가 가해져 쉽게 피로를 느끼게 됩니다.
- 손바닥 부위에 연속된 자극으로 인하여 심한 경우 피부못(corn)이 형성되어 만성 통증의 원인이 되기도 합니다.
- 따라서 가능하면 해부학적 위치에 가깝게 정복하고 치유하는 것이 바람직합니다.
- 인지와 중지는 10~15도 이내, 약지는 30도 이내, 소지는 60도 이내의 각형성은 허용됩니다.
- 허용범위를 벗어난 경우에는 도수 정복 후 K-강선 고정 수술로 대개 치료가 가능합니다.
- 진단이 늦어진 경우에도 수상 후 7~10일 정도까지는 도수 정복을 시행해 볼 수 있습니다.
- 도수 정복은 90-90 방법(Jahss 방법), 즉 중수지 관절을 90도 굴곡하여 측부인대를 긴장시키고 다시 근위지간관절을 90도 굴곡시켜 근위지골을 위로 밀고 중수골 간부를 아래로 밀어 정복합니다.
- 정복 후에는 중수지 관절(MCP joint)을 70도 정도 굴곡 시킨 상태에서 척측 구형성 부목(ulnar gutter splint)을 대서 유지합니다. 손목은 대략 20도 정도 신전 시켜 주는 것이 좋습니다.
중수골 간부 골절(shaft fracture)
- 형태에 따라 사선형, 나선형, 횡, 분쇄 골절로 분류됩니다.
- 길이가 3mm 이상 단축된 경우에는 심각한 기능 장애를 초래할 수 있습니다.
- 회전 변형의 허용각도는 10도까지이며, 각형성의 허용 각도는 제2, 3 수지는 10도 이내, 제4, 5 수지는 20도 이내입니다.
- 길이와 회전 및 각형성 모두 허용 범위 이내이면 보존적 요법으로 비수술 치료가 가능하지만 그 외에는 수술적 치료가 필요합니다.

중수골 기저부 골절(base fracture)
- 중수골 기저부의 단독 골절은 드물며 제5수지에서 가장 흔히 발생하며 관절 내 골절이나 탈구가 동반되는 경우가 많습니다.
- 전위가 허용범위를 벗어난 경우에는 도수 정복 후 K-강선 고정술 또는 관혈적 정복으로 수술적 치료합니다.
- 역 Bennet 골절 : 제5 중수골 기저부 관절 내 골절. 무지에서와 같이 외측 근위부로 전위가 발생합니다. 전위가 없으면 3~4주간 고정하여 치료될 수 있으나 대개 도수 정복 후 K-강선 고정 또는 관혈적 정복술로 수술적 치료합니다.
Reference) 대한골절학회(2018), 골절학, 범문에듀케이션, 266-268
'응급의학 > 정형외과' 카테고리의 다른 글
| 쇄골 골절의 증상, 분류, 치료, 후유증 등에 대해 (81) | 2023.11.21 |
|---|---|
| 팔꿈치 골절 - 주두 골절(척골 근위부 골절)의 증상 및 치료, 합병증 등 (71) | 2023.11.08 |
| 발목 골절 - 거골 외측돌기 골절에 대해 (77) | 2023.10.24 |
| 팔씨름 후 발생한 골절 - 상완골 간부 골절의 증상 및 치료, 합병증 등에 대해 (56) | 2023.10.16 |
| 발목을 삐었는데 증상이 오래가요 - 종골 전방돌기 골절 (54) | 2023.10.05 |